×
Home
About the Practice
Dr. Matthew Nadler
Dr. Sheldon Nadler
Dr. Jacqueline Katz
Our Staff
Testimonials
Financing
Advanced Technology
Blog
Preventive Dentistry
Remineralization
Cosmetic Dentistry
Veneers
Smile Makeover
Cosmetic Bonding
Teeth Whitening
Invisalign®
General Dentistry
Desensitizing
Inlays/Onlays/Crowns
PerioMaintenance
Cleanings/General
Dentures
Bridges
Dental Implants
Full Mouth Reconstruction
Patient Resources
First Visit Experience
Emergency Dentistry
FAQs
Hygiene
Gallery
Contact
25 West 54th St., Suite 1-D,
New York, NY 10019
(212) 757-3745
MENU
MENU
Home
About the Practice
Dr. Matthew Nadler
Dr. Sheldon Nadler
Our Staff
Financing
Advanced Technology
Blog
Procedures
Preventive Dentistry
Remineralization
Cosmetic Dentistry
Veneers
Smile Makeover
Cosmetic Bonding
Teeth Whitening
Invisalign
®
General Dentistry
Desensitizing
Inlays/Onlays/Crowns
PerioMaintenance
Cleanings/General
Dentures
Bridges
Dental Implants
Full Mouth Reconstruction
Gallery
Testimonials
Patient Resources
First Visit Experience
Emergency Dentistry
FAQs
Hygiene
Contact
MENU
GALLERY
CONTACT
Gallery
Home
»
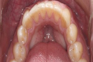
Invisalign®
Invisalign®
Back to Gallery
Invisalign® Case 1
View Case
Please ensure Javascript is enabled for purposes of
website accessibility